F
最終更新日:2025.12.29
We are not selling antibodies. / Nous ne vendons pas d'anticorps. / Wir verkaufen keinen Antikorper.
No vendemos un anticuerpo. / 我們沒銷售抗體 / мы не продавать антило.
抗体は販売していません。
| Anti- | 抗体名 | 略称 | 別名 | HOST | CLONE名 | 適用 |
|---|---|---|---|---|---|---|
| Mouse | F4/80 (Mouse macrophage marker) | F4/80 | EMR1, Gpf480, Ly71 | Rat | BM8 | P* |
| Human | Factor VIII related antigen | vWF | →Von Willebrand factor | Rabbit | Poly | P |
| Human | Factor XIIIa | F-XIIIa | Rabbit | EP3372 | P* | |
| Human | Fas | →APO1,→CD95 | Mouse | GM30 | P* | |
| Human | Fibrinogen / Fibrin | Fib | coagulation factor I | Rabbit | Poly | P |
| Hu/Mo/Rat | Fibroblast growth factor-2 | bFGF | →basic FGF (bFGF) | Rabbit | Poly | P |
| Fluorescein isothiocyanate | FITC | Mouse | DAK-FITC4 | P | ||
| Human | Follicular Stimulating Hormone | FSH | Follitropin | Rabbit | Poly | P |
| Human | Forkhead box P3 (Foxp3) | Foxp3 | FOXP3,Scurfin,JM2 | Mouse | 236A/E7 | P |
| Mouse,Rat | Forkhead box P3 (Foxp3) | Foxp3 | FOXP3,Scurfin | Rat | FJK-16s | P |
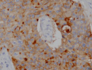
| Cell surface glycoprotein F4/80 (Gpf480) ( 別名:EGF-like module containing mucin-like hormone receptor-like1:EMR1 ) | |
|---|---|
![]() F4/80 マウス肝 |
F4/80と言うとクローン名みたいにも聞こえるが抗原名称である。細胞外ドメインにEGF様構造を持つEGF-like module containing mucin-like hormone receptor-like sequence 1あるいはAdhesion G protein-coupled receptoe E1(adgre1 :ヒトでは19p13.3)のマウスのホモログ遺伝子にコードされる7回膜貫通型の糖蛋白(主に125kDaほど)とされているが、機能的には未解明な点が多い。 EMR1/ADGRE1のほか、Gpf480、EGF-TM7、TM7LN3、lymphocyte antigen 71(Ly71)などとも呼ばれる。 マウスのマクロファージ・単球のマーカーとしてよく知られているが、皮膚のLangerhans細胞、肝のKupffer細胞、脳のMicroglia細胞などにも常時発現している一方、発現の弱いマクロファージもあることも知られている。 |
MWGFWLLLFW GFSGMYRWGM TTLPTLGQTL GGVNECQDTT TCPAYATCTD TTDSYYCTCK RGFLSSNGQT NFQGPGVECQ DVNECLQSDS PCGPNSVCTN
ILGRAKCSCL RGFSSSTGKD WILGSLDNFL CADVDECLTI GICPKYSNCS NSVGSYSCTC QPGFVLNGSI CEDEDECVTR DVCPEHATCH NTLGSYYCTC
NSGLESSGGG PMFQGLDESC EDVDECSRNS TLCGPTFICI NTLGSYSCSC PAGFSLPTFQ ILGHPADGNC TDIDECDDTC PLNSSCTNTI GSYFCTCHPG
FASSNGQLNF KDLEVTCEDI DECTQDPLQC GLNSVCTNVP GSYICGCLPD FQMDPEGSQG YGNFNCKRIL FKCKEDLILQ SEQIQQCQAV QGRDLGYASF
CTLVNATFTI LDNTCENKSA PVSLQSAATS VSLVLEQATT WFELSKEETS TLGTILLETV ESTMLAALLI PSGNASQMIQ TEYLDIESKV INEECKENES
INLAARGDKM NVGCFIIKES VSTGAPGVAF VSFAHMESVL NERFFEDGQS FRKLRMNSRV VGGTVTGEKK EDFSKPIIYT LQHIQPKQKS ERPICVSWNT
DVEDGRWTPS GCEIVEASET HTVCSCNRMA NLAIIMASGE LTMEFSLYII SHVGTVISLV CLALAIATFL LCRAVQNHNT YMHLHLCVCL FLAKILFLTG
IDKTDNQTAC AIIAGFLHYL FLACFFWMLV EAVMLFLMVR NLKVVNYFSS RNIKMLHLCA FGYGLPVLVV IISASVQPRG YGMHNRCWLN TETGFIWSFL
GPVCMIITIN SVLLAWTLWV LRQKLCSVSS EVSKLKDTRL LTFKAIAQIF ILGCSWVLGI FQIGPLASIM AYLFTIINSL QGAFIFLIHC LLNRQVRDEY
KKLLTRKTDL SSHSQTSGIL LSSMPSTSKM G (Mus musculus)
|
| (Coagulation) Factor VIII related antigen ( F-VIII RA ) ( 別名:Von Willebrand factor:vWF ) | |
|---|---|
![]() F-VIII RA 血管 X400 |
第VIII因子関連抗原は省略して「第VIII因子」と呼ばれたりすることもあるが正確には第VIII凝固因子そのものではなく、そのサブユニットであり、 Von Willebrand因子(VWF,vWF)と呼ばれる約270kDaの血漿蛋白(Gene:12p13.3)である。この因子は血小板表面のgpIb,gpIIb/IIIa(β3インテグリン)やコラーゲン、ヘパリンなどとのbinding domainを有し、血小板の血管壁への粘着、活性化や第VIII凝固因子の運搬や安定化に関係している。 血管内皮細胞で産生され、血管内皮性腫瘍の鑑別などに利用されるが、血管肉腫などで分化の低い場合に陰性のことがあり、ThrombomodulinやCD34などとの併用が望ましい。ホルマリン固定標本でも可能だが、血漿、骨髄巨核球などにも反応する。反応が弱い時はトリプシン処理(または熱処理)が有効。Ratにも交差。 |
MIPARFAGVL LALALILPGT LCAEGTRGRS STARCSLFGS DFVNTFDGSM YSFAGYCSYL LAGGCQKRSF SIIGDFQNGK RVSLSVYLGE FFDIHLFVNG
TVTQGDQRVS MPYASKGLYL ETEAGYYKLS GEAYGFVARI DGSGNFQVLL SDRYFNKTCG LCGNFNIFAE DDFMTQEGTL TSDPYDFANS WALSSGEQWC
ERASPPSSSC NISSGEMQKG LWEQCQLLKS TSVFARCHPL VDPEPFVALC EKTLCECAGG LECACPALLE YARTCAQEGM VLYGWTDHSA CSPVCPAGME
YRQCVSPCAR TCQSLHINEM CQERCVDGCS CPEGQLLDEG LCVESTECPC VHSGKRYPPG TSLSRDCNTC ICRNSQWICS NEECPGECLV TGQSHFKSFD
NRYFTFSGIC QYLLARDCQD HSFSIVIETV QCADDRDAVC TRSVTVRLPG LHNSLVKLKH GAGVAMDGQD VQLPLLKGDL RIQHTVTASV RLSYGEDLQM
DWDGRGRLLV KLSPVYAGKT CGLCGNYNGN QGDDFLTPSG LAEPRVEDFG NAWKLHGDCQ DLQKQHSDPC ALNPRMTRFS EEACAVLTSP TFEACHRAVS
PLPYLRNCRY DVCSCSDGRE CLCGALASYA AACAGRGVRV AWREPGRCEL NCPKGQVYLQ CGTPCNLTCR SLSYPDEECN EACLEGCFCP PGLYMDERGD
CVPKAQCPCY YDGEIFQPED IFSDHHTMCY CEDGFMHCTM SGVPGSLLPD AVLSSPLSHR SKRSLSCRPP MVKLVCPADN LRAEGLECTK TCQNYDLECM
SMGCVSGCLC PPGMVRHENR CVALERCPCF HQGKEYAPGE TVKIGCNTCV CQDRKWNCTD HVCDATCSTI GMAHYLTFDG LKYLFPGECQ YVLVQDYCGS
NPGTFRILVG NKGCSHPSVK CKKRVTILVE GGEIELFDGE VNVKRPMKDE THFEVVESGR YIILLLGKAL SVVWDRHLSI SVVLKQTYQE KVCGLCGNFD
GIQNNDLTSS NLQVEEDPVD FGNSWKVSSQ CADTRKVPLD SSPATCHNNI MKQTMVDSSC RILTSDVFQD CNKLVDPEPY LDVCIYDTCS CESIGDCACF
CDTIAAYAHV CAQHGKVVTW RTATLCPQSC EERNLRENGY ECEWRYNSCA PACQVTCQHP EPLACPVQCV EGCHAHCPPG KILDELLQTC VDPEDCPVCE
VAGRRFASGK KVTLNPSDPE HCQICHCDVV NLTCEACQEP GGLVVPPTDA PVSPTTLYVE DISEPPLHDF YCSRLLDLVF LLDGSSRLSE AEFEVLKAFV
VDMMERLRIS QKWVRVAVVE YHDGSHAYIG LKDRKRPSEL RRIASQVKYA GSQVASTSEV LKYTLFQIFS KIDRPEASRI TLLLMASQEP QRMSRNFVRY
VQGLKKKKVI VIPVGIGPHA NLKQIRLIEK QAPENKAFVL SSVDELEQQR DEIVSYLCDL APEAPPPTLP PDMAQVTVGP GLLGVSTLGP KRNSMVLDVA
FVLEGSDKIG EADFNRSKEF MEEVIQRMDV GQDSIHVTVL QYSYMVTVEY PFSEAQSKGD ILQRVREIRY QGGNRTNTGL ALRYLSDHSF LVSQGDREQA
PNLVYMVTGN PASDEIKRLP GDIQVVPIGV GPNANVQELE RIGWPNAPIL IQDFETLPRE APDLVLQRCC SGEGLQIPTL SPAPDCSQPL DVILLLDGSS
SFPASYFDEM KSFAKAFISK ANIGPRLTQV SVLQYGSITT IDVPWNVVPE KAHLLSLVDV MQREGGPSQI GDALGFAVRY LTSEMHGARP GASKAVVILV
TDVSVDSVDA AADAARSNRV TVFPIGIGDR YDAAQLRILA GPAGDSNVVK LQRIEDLPTM VTLGNSFLHK LCSGFVRICM DEDGNEKRPG DVWTLPDQCH
TVTCQPDGQT LLKSHRVNCD RGLRPSCPNS QSPVKVEETC GCRWTCPCVC TGSSTRHIVT FDGQNFKLTG SCSYVLFQNK EQDLEVILHN GACSPGARQG
CMKSIEVKHS ALSVELHSDM EVTVNGRLVS VPYVGGNMEV NVYGAIMHEV RFNHLGHIFT FTPQNNEFQL QLSPKTFASK TYGLCGICDE NGANDFMLRD
GTVTTDWKTL VQEWTVQRPG QTCQPILEEQ CLVPDSSHCQ VLLLPLFAEC HKVLAPATFY AICQQDSCHQ EQVCEVIASY AHLCRTNGVC VDWRTPDFCA
MSCPPSLVYN HCEHGCPRHC DGNVSSCGDH PSEGCFCPPD KVMLEGSCVP EEACTQCIGE DGVQHQFLEA WVPDHQPCQI CTCLSGRKVN CTTQPCPTAK
APTCGLCEVA RLRQNADQCC PEYECVCDPV SCDLPPVPHC ERGLQPTLTN PGECRPNFTC ACRKEECKRV SPPSCPPHRL PTLRKTQCCD EYECACNCVN
STVSCPLGYL ASTATNDCGC TTTTCLPDKV CVHRSTIYPV GQFWEEGCDV CTCTDMEDAV MGLRVAQCSQ KPCEDSCRSG FTYVLHEGEC CGRCLPSACE
VVTGSPRGDS QSSWKSVGSQ WASPENPCLI NECVRVKEEV FIQQRNVSCP QLEVPVCPSG FQLSCKTSAC CPSCRCERME ACMLNGTVIG PGKTVMIDVC
TTCRCMVQVG VISGFKLECR KTTCNPCPLG YKEENNTGEC CGRCLPTACT IQLRGGQIMT LKRDETLQDG CDTHFCKVNE RGEYFWEKRV TGCPPFDEHK
CLAEGGKIMK IPGTCCDTCE EPECNDITAR LQYVKVGSCK SEVEVDIHYC QGKCASKAMY SIDINDVQDQ CSCCSPTRTE PMQVALHCTN GSVVYHEVLN
AMECKCSPRK CSK
|
| (Coagulation) Factor XIIIa ( 別名:Protein-glutamine γ-glutamyltransferase A chain ) | |
|---|---|
![]() Factor XIIIa 皮膚 X400 |
Factor XIIIは12番目(13ではない)の血液凝固因子で、トロンビンとカルシウムにより活性化され血液凝固の最終段階(第三相)でフィブリン分子間に架橋(cross link)を形成してフィブリン重合体をゲル化する酵素(Transglutaminase,EC2.3.2.13)。フィブリン安定化因子(Fibrin stabilizing factor:FSF)とも呼ばれる分子量30〜34万の蛋白で、酵素活性を有する aサブユニットと活性を有さないbサブユニット各2個から成るテトラマー(4量体)として、血小板、骨髄巨核球、単球/組織球の細胞質および分泌蛋白として血漿や組織中にも存在する。 F-XIIIaは731aa,およそ83kDの蛋白で、Gene:6p25;F13A。 Crohn病,潰瘍性大腸炎では血中第XIII因子の低下があるといわれる。 → See 【M】MAC387 |
SETSRTAFGG RRAVPPNNSN AAEDDLPTVE LQGVVPRGVN LQEFLNVTSV HLFKERWDTN KVDHHTDKYE NNKLIVRRGQ SFYVQIDFSR PYDPRRDLFR
VEYVIGRYPQ ENKGTYIPVP IVSELQSGKW GAKIVMREDR SVRLSIQSSP KCIVGKFRMY VAVWTPYGVL RTSRNPETDT YILFNPWCED DAVYLDNEKE
REEYVLNDIG VIFYGEVNDI KTRSWSYGQF EDGILDTCLY VMDRAQMDLS GRGNPIKVSR VGSAMVNAKD DEGVLVGSWD NIYAYGVPPS AWTGSVDILL
EYRSSENPVR YGQCWVFAGV FNTFLRCLGI PARIVTNYFS AHDNDANLQM DIFLEEDGNV NSKLTKDSVW NYHCWNEAWM TRPDLPVGFG GWQAVDSTPQ
ENSDGMYRCG PASVQAIKHG HVCFQFDAPF VFAEVNSDLI YITAKKDGTH VVENVDATHI GKLIVTKQIG GDGMMDITDT YKFQEGQEEE RLALETALMY
GAKKPLNTEG VMKSRSNVDM DFEVENAVLG KDFKLSITFR NNSHNRYTIT AYLSANITFY TGVPKAEFKK ETFDVTLEPL SFKKEAVLIQ AGEYMGQLLE
QASLHFFVTA RINETRDVLA KQKSTVLTIP EIIIKVRGTQ VVGSDMTVTV QFTNPLKETL RNVWVHLDGP GVTRPMKKMF REIRPNSTVQ WEEVCRPWVS
GHRKLIASMS SDSLRHVYGE LDVQIQRRPS M (38-731)
|
| Fas ( APO1,CD95 ) | |
|---|---|
![]() Fas 皮膚 X400 |
10q24.1上の遺伝子にコードされ膜貫通領域を有する45kDaのT型細胞膜蛋白で、Tumor necrosis factor受容体(TNFR)ファミリーに属する細胞表面受容体(member6)。Fasリガンドの受容体として結合すると三量体を形成し、FADDなどアダプター分子を介してCaspase-8の前駆体を含んだ多量体(DISC)を形成し典型的なApoptosisを誘導する。 APO-1とも呼ばれるほか、CD95としても分類されておりHIV感染細胞やSLEでのT細胞において過剰発現が見られる。またHCV感染肝組織では免疫組織化学的にFas陽性率が高いという。ホルモリン固定組織では熱処理が必要。固定状態によっては染まりにくいことがある。 |
MLGIWTLLPL VLTSVARLSS KSVNAQVTDI NSKGLELRKT VTTVETQNLE GLHHDGQFCH KPCPPGERKA RDCTVNGDEP DCVPCQEGKE YTDKAHFSSK
CRRCRLCDEG HGLEVEINCT RTQNTKCRCK PNFFCNSTVC EHCDPCTKCE HGIIKECTLT SNTKCKEEGS RSNLGWLCLL LLPIPLIVWV KRKEVQKTCR
KHRKENQGSH ESPTLNPETV AINLSDVDLS KYITTIAGVM TLSQVKGFVR KNGVNEAKID EIKNDNVQDT AEQKVQLLRN WHQLHGKKEA YDTLIKDLKK
ANLCTLAEKI QTIILKDITS DSENSNFRNE IQSLV (26-335)
|
| FasとCaspase8との間に介在する「アダプター分子」と呼ばれる23kDaの蛋白質。(Gene:11q13.3)別名:Mediator of receptor induced toxicity1(MORT-1)。 208個のアミノ酸のうち97-181でDeath domain(DD)と呼ばれるFasの細胞内ドメインの一部と共通の構造を有し、また3-81でDeath effector domain(DED)と呼ばれるCaspase8のN末端側とも共通の構造を持つ。FasL-Fas系の他にTNF-TNFR1(CD120b,p75)系や DR3(Death receptor3,別名Apo3,TRAMP,LARD,WSL-1とも)でのApoptosisのシグナル伝達にも関係している。(現在、リストより削除しています。) | |
MDPFLVLLHS VSSSLSSSEL TELKFLCLGR VGKRKLERVQ SGLDLFSMLL EQNDLEPGHT ELLRELLASL RRHDLLRRVD DFEAGAAAGA APGEEDLCAA
FNVICDNVGK DWRRLARQLK VSDTKIDSIE DRYPRNLTER VRESLRIWKN TEKENATVAH LVGALRSCQM NLVADLVQEV QQARDLQNRS GAMSPMSWNS
DASTSEAS
|
![]() FasL 皮膚 X400 |
FasLはTNF類似のサイトカインの一種である約40kDaのU型膜貫通蛋白質。遺伝子は1q23。 TNFファミリーに属するいわゆるデス因子と呼ばれるもので、受容体であるFasと結合することによってFasを有する細胞にApoptosisを誘導する。活性化された細胞傷害性T細胞(CTL)、NK細胞、マクロファージ、精巣、角膜などに発現し、HCVやHIV感染、SLEなどで発現が増加する。FasLのうち、細胞外領域にあたるC末端側138-281のアミノ酸部分26kDがプロテアーゼに限定分解された可溶性のもの(sFasL)が血清中に存在する。 (リストより削除しました。) |
MQQPFNYPYP QIYWVDSSAS SPWAPPGTVL PCPTSVPRRP GQRRPPPPPP PPPLPPPPPP PPLPPLPLPP LKKRGNHSTG LCLLVMFFMV LVALVGLGLG
MFQLFHLQKE LAELRESTSQ MHTASSLEKQ IGHPSPPPEK KELRKVAHLT GKSNSRSMPL EWEDTYGIVL LSGVKYKKGG LVINETGLYF VYSKVYFRGQ
SCNNLPLSHK VYMRNSKYPQ DLVMMEGKMM SYCTTGQMWA RSSYLGAVFN LTSADHLYVN VSELSLVNFE ESQTFFGLYK L
|
| Fibrinogen / Fibrin ( 別名:coagulation factor I ) | |
|---|---|
![]() Fib 血栓 X400 ![]() Fibrin net SEM X2000 |
フィブリンの前駆体であるフィブリノーゲン(線維素とも呼ばれる)は肝臓で合成され血漿に含まれる(約0.2〜0.4%)約340kDaの糖蛋白で、α(Aα)鎖(866aa, Gene:FGA ;4q 28)、β(Bβ)鎖(491aa, Gene: FGB ;4q 28)、γ鎖(453aa, Gene: FGG ;4q 28)の3種類のポリペプチド鎖がペアとなって(計6本)架橋構造で連結された構造をしている。 血液凝固因子として最初に発見された蛋白であり第 I 凝固因子とも呼ばれ、血液凝固の最終段階においてフィブリノーゲンのAα鎖・Bβ鎖のN末端側の一部ペプチドがセリンプロテアーゼの一種であるトロンビンによって切断されたフィブリン・モノマー同士がカルシウムの存在下にN末端とC末端で重合して難溶性のフィブリン・ポリマーとなり、さらにトランスグルタミナーゼである第XIII因子(フィブリン安定化因子)が作用して相互に(γ−γ、α−α間)架橋結合することで安定化フィブリンと呼ばれる網目状の線維構造を形成する。 これが一般にフィブリンと呼ばれるもので、血球を絡めて凝血塊を作る。(左図下段は凝血塊を走査型電子顕微鏡:SEMで観察したもので、網目状になったフィブリン線維がよくわかる) なお、フィブリンはセリンプロテアーゼであるプラスミンによって徐々に分解され、D-dimerなどのフィブリン分解産物(FDP)となる。またフィブリン・モノマーは互いに重合するだけでなく、FDPやFibronectinなどとも結合して複合体を形成する。 |
α chain:
MFSMRIVCLV LSVVGTAWTA DSGEGDFLAE GGGVRGPRVV ERHQSACKDS DWPFCSDEDW NYKCPSGCRM KGLIDEVNQD FTNRINKLKN SLFEYQKNNK
DSHSLTTNIM EILRGDFSSA NNRDNTYNRV SEDLRSRIEV LKRKVIEKVQ HIQLLQKNVR AQLVDMKRLE VDIDIKIRSC RGSCSRALAR EVDLKDYEDQ
QKQLEQVIAK DLLPSRDRQH LPLIKMKPVP DLVPGNFKSQ LQKVPPEWKA LTDMPQMRME LERPGGNEIT RGGSTSYGTG SETESPRNPS SAGSWNSGSS
GPGSTGNRNP GSSGTGGTAT WKPGSSGPGS TGSWNSGSSG TGSTGNQNPG SPRPGSTGTW NPGSSERGSA GHWTSESSVS GSTGQWHSES GSFRPDSPGS
GNARPNNPDW GTFEEVSGNV SPGTRREYHT EKLVTSKGDK ELRTGKEKVT SGSTTTTRRS CSKTVTKTVI GPDGHKEVTK EVVTSEDGSD CPEAMDLGTL
SGIGTLDGFR HRHPDEAAFF DTASTGKTFP GFFSPMLGEF VSETESRGSE SGIFTNTKES SSHHPGIAEF PSRGKSSSYS KQFTSSTSYN RGDSTFESKS
YKMADEAGSE ADHEGTHSTK RGHAKSRPVR DCDDVLQTHP SGTQSGIFNI KLPGSSKIFS VYCDQETSLG GWLLIQQRMD GSLNFNRTWQ DYKRGFGSLN
DEGEGEFWLG NDYLHLLTQR GSVLRVELED WAGNEAYAEY HFRVGSEAEG YALQVSSYEG TAGDALIEGS VEEGAEYTSH NNMQFSTFDR DADQWEENCA
EVYGGGWWYN NCQAANLNGI YYPGGSYDPR NNSPYEIENG VVWVSFRGAD YSLRAVRMKI RPLVTQ (36-866)
β chain:
MKRMVSWSFH KLKTMKHLLL LLLCVFLVKS QGVNDNEEGF FSARGHRPLD KKREEAPSLR PAPPPISGGG YRARPAKAAA TQKKVERKAP DAGGCLHADP
DLGVLCPTGC QLQEALLQQE RPIRNSVDEL NNNVEAVSQT SSSSFQYMYL LKDLWQKRQK QVKDNENVVN EYSSELEKHQ LYIDETVNSN IPTNLRVLRS
ILENLRSKIQ KLESDVSAQM EYCRTPCTVS CNIPVVSGKE CEEIIRKGGE TSEMYLIQPD SSVKPYRVYC DMNTENGGWT VIQNRQDGSV DFGRKWDPYK
QGFGNVATNT DGKNYCGLPG EYWLGNDKIS QLTRMGPTEL LIEMEDWKGD KVKAHYGGFT VQNEANKYQI SVNKYRGTAG NALMDGASQL MGENRTMTIH
NGMFFSTYDR DNDGWLTSDP RKQCSKEDGG GWWYNRCHAA NPNGRYYWGG QYTWDMAKHG TDDGVVWMNW KGSWYSMRKM SMKIRPFFPQ Q
(45-491) (Fel/Can/Mus:84%, Rab:83%, Sus:82%)
γ chain:
MSWSLHPRNL ILYFYALLFL SSTCVAYVAT RDNCCILDER FGSYCPTTCG IADFLSTYQT KVDKDLQSLE DILHQVENKT SEVKQLIKAI QLTYNPDESS
KPNMIDAATL KSRKMLEEIM KYEASILTHD SSIRYLQEIY NSNNQKIVNL KEKVAQLEAQ CQEPCKDTVQ IHDITGKDCQ DIANKGAKQS GLYFIKPLKA
NQQFLVYCEI DGSGNGWTVF QKRLDGSVDF KKNWIQYKEG FGHLSPTGTT EFWLGNEKIH LISTQSAIPY ALRVELEDWN GRTSTADYAM FKVGPEADKY
RLTYAYFAGG DAGDAFDGFD FGDDPSDKFF TSHNGMQFST WDNDNDKFEG NCAEQDGSGW WMNKCHAGHL NGVYYQGGTY SKASTPNGYD NGIIWATWKT
RWYSMKKTTM KIIPFNRLTI GEGQQHHLGG AKQVRPEHPA ETEYDSLYPE DDL (Fel:86, Can:85, Rab:81)
|
| Fibroblast growth factor-2 ( FGF-2,basic FGF:bFGF ) | |
|---|---|
![]() FGF-2 皮膚 X400 |
線維芽細胞増殖因子(FGF)は下垂体抽出液から発見されたヘパリン親和性の蛋白でHeparin-binding growth factor(HBGF)とも呼ばれ、広範な動物の正常および腫瘍細胞の細胞質内でヘパラン硫酸と結合して細胞外に分泌されるといわれている。共通のコアをもつ18〜30kDの20種類ほどでファミリーを形成しており、FGF-1はacidic FGF(aFGF)、FGF-2はbasic FGF(bFGF)とも呼ばれ、FGF-3〜6は胎生期・癌遺伝子産物とも言われる。FGF-2(bFGF,Gene:4q25-q27)は血管新生作用が強いほか、核内に移行し転写促進にも関係すると考えられている。 (FGF-2にはmRNAの翻訳開始位置のズレによって18〜24kDaまでの分子が存在し、このうち22kDa以上の高分子のものが核に移行するとされ、左図のように細胞質よりも核の方が強く反応することもある。なお、使用したpolyclonal抗体はヒトのほかマウス、ラットにも反応し、ホルマリン固定組織でも可能。EDTA脱灰1週間後でも染まった。) |
MAAGSITTLP ALPEDGGSGA FPPGHFKDPK RLYCKNGGFF LRIHPDGRVD GVREKSDPHI KLQLQAEERG VVSIKGVCAN RYLAMKEDGR LLASKCVTDE
CFFFERLESN NYNTYRSRKY TSWYVALKRT GQYKLGSKTG PGQKAILFLP MSAKS(10-155)
|
![]() Fibronectin 線維芽細胞 X400 |
Fibronectin(FN)は線維芽細胞、血管、肝細胞などで産生され、生体内の分布により血漿性(pFN)と細胞性(cFN)などに分類される。構造的には235〜270kDaの2本のサブユニット(A鎖・B鎖)がSS結合で結ばれた高分子糖蛋白(Gene:2q35;FNで、Large external transformation sensitive(LETS) ptoteinとも呼ばれるが分子多様性が高く20種程度のisoformが知られている。 cFNは分泌後分子間SS結合により巨大な線維性の高分子体を形成し不溶性の、細胞外基質(ECM)成分となるほか、A鎖の各部で細胞膜の受容体であるIntegrin、さらにTalinを介して細胞骨格を成すActinと、B鎖でHeparin、Collagen、Fibrinなどの他のECM成分と結合しており、細胞外基質と細胞とを結んで固定する接着分子であるとともに、細胞内のActinフィラメントを一定方向に固定し細胞の形を保持することにも関係する。ほかに細胞のチロシンキナーゼの活性化や細胞増殖の促進にも関係する多機能分子である。TGF-βなどの炎症性サイトカインにより産生が誘導され、MMP(2,3,10,13など)により分解される。
Clone:568はFibronectinペプチド鎖のCell binding domeinに対する抗体で、ホルマリン固定切片でも染まるが反応が弱い時にはトリプシン処理が効く。またラットなど他の動物との免疫交差性がある。 (抗体残量が少なくなっています。抗体がなくなり次第、リストより削除する予定です。) |
![]() FN (568) 皮膚 X400 |
![]() FN (P1H11) 皮膚 X400 |
![]() FN (568) 皮膚 X400 |
![]() FN (P1H11) 皮膚 X400 |
| 同じ「抗Fibronectin抗体」でもこれだけ反応性が異なるという例を示す。clone:568(左)では膠原線維間に細い線維状に反応しているのに対して、clone:P1H11(右)では膠原線維に一致してび漫性に反応している。また、P1H11では表皮やマクロファージ様細胞に強い反応がみられるが、clone:568ではみられない。良し悪しは別として、抗体にはそれぞれ「特性」がある。(0.1%Trypsin 37℃30分間反応後) |
|||
![]() Filaggrin 表皮 X400 |
Filaggrin(Gene:1q21)は表皮に発現している4000aa以上に及ぶ不溶性の塩基性蛋白で前駆体のprofilaggrinは表皮顆粒層の扁平上皮細胞で合成され、リン酸化されてkeratohyalin顆粒に含まれるが、細胞の成熟・角化とともに脱リン酸化とプロテアーゼによる分解によってfilaggrinとなり、Keratinやinvolucrinなどの構造蛋白の架橋形成(epidermal differentiation complex:EDCとも呼ばれる)に介在し、更に分解されて角質層の成分となる。常染色体性優性遺伝疾患である尋常性魚鱗癬(ichthyosis vulgaris)では角質肥厚とともに顆粒層の消失〜減少、 filaggrinの減少がみられ、落葉性、葉状など他の魚鱗癬と区別されるほか、老人性乾皮症やアトピー性皮膚炎、さらにある種のウィルス感染や前癌状態においても減少がみられるという。また、リウマチ性関節炎(RA)の特異的自己抗体の標的分子としても知られる。ホルマリン固定標本では要熱処理。なお、filaggrinは種を超えて幅広く哺乳類に発現している。 (現在、リストより削除しています。) |
MSTLLENIFA IINLFKQYSK KDKNTDTLSK KELKELLEKE FRQILKNPDD PDMVDVFMDH LDIDHNKKID FTEFLLMVFK LAQAYYESTR KENLPISGHK
HRKHSHHDKH EDNKQEENKE NRKRPSSLER RNNRKGNKGR SKSPRETGGK RHESSSEKKE RKGYSPTHRE EEYGKNHHNS SKKEKNKTEN TRLGDNRKRL
SERLEEKEDN EEGVYDYENT GRMTQKWIQS GHIATYYTIQ DEAYDTTDSL LEENKIYERS RSSDGKSSSQ VNRSRHENTS QVPLQESRTR KRRGSRVSQD
RDSEGHSEDS ERHSGSASRN HHGSAWEQSR DGSRHPRSHD EDRASHGHSA DSSRQSGTRH AETSSRGQTA SSHEQARSSP GERHGSGHQQ SADSSRHSAT
GRGQASSAVS DRGHRGSSGS QASDSEGHSE NSDTQSVSGH GKAGLRQQSH QESTRGRSGE RSGRSGSSLY QVSTHEQPDS AHGRTGTSTG GRQGSHHEQA
RDSSRHSASQ EGQDTIRGHP GSSRGGRQGS HHEQSVNRSG HSGSHHSHTT SQGRSDASHG QSGSRSASRQ TRNEEQSGDG TRHSGSRHHE ASSQADSSRH
SQVGQGQSSG PRTSRNQGSS VSQDSDSQGH SEDSERWSGS ASRNHHGSAQ EQSRDGSRHP RSHHEDRAGH GHSADSSRKS GTRHTQNSSS GQAASSHEQA
RSSAGERHGS RHQLQSADSS RHSGTGHGQA SSAVRDSGHR GSSGSQATDS EGHSEDSDTQ SVSGHGQAGH HQQSHQESAR DRSGERSRRS GSFLYQVSTH
KQSESSHGWT GPSTGVRQGS HHEQARDNSR HSASQDGQDT IRGHPGSSRR GRQGSHHEQS VDRSGHSGSH HSHTTSQGRS DASRGQSGSR SASRTTRNEE
QSRDGSRHSG SRHHEASSHA DISRHSQAGQ GQSEGSRTSR RQGSSVSQDS DSEGHSEDSE RWSGSASRNH RGSAQEQSRH GSRHPRSHHE DRAGHGHSAD
SSRQSGTPHA ETSSGGQAAS SHEQARSSPG ERHGSRHQQS ADSSRHSGIP RRQASSAVRD SGHWGSSGSQ ASDSEGHSEE SDTQSVSGHG QDGPHQQSHQ
ESARDWSGGR SGRSGSFIYQ VSTHEQSESA HGRTRTSTGR RQGSHHEQAR DSSRHSASQE GQDTIRAHPG SRRGGRQGSH HEQSVDRSGH SGSHHSHTTS
QGRSDASHGQ SGSRSASRQT RKDKQSGDGS RHSGSRHHEA ASWADSSRHS QVGQEQSSGS RTSRHQGSSV SQDSDSERHS DDSERLSGSA SRNHHGSSRE
QSRDGSRHPG FHQEDRASHG HSADSSRQSG THHTESSSHG QAVSSHEQAR SSPGERHGSR HQQSADSSRH SGIGHRQASS AVRDSGHRGS SGSQVTNSEG
HSEDSDTQSV SAHGQAGPHQ QSHKESARGQ SGESSGRSRS FLYQVSSHEQ SESTHGQTAP STGGRQGSRH EQARNSSRHS ASQDGQDTIR GHPGSSRGGR
QGSYHEQSVD RSGHSGYHHS HTTPQGRSDA SHGQSGPRSA SRQTRNEEQS GDGSRHSGSR HHEPSTRAGS SRHSQVGQGE SAGSKTSRRQ GSSVSQDRDS
EGHSEDSERR SESASRNHYG SAREQSRHGS RNPRSHQEDR ASHGHSAESS RQSGTRHAET SSGGQAASSQ EQARSSPGER HGSRHQQSAD SSTDSGTGRR
QDSSVVGDSG NRGSSGSQAS DSEGHSEESD TQSVSAHGQA GPHQQSHQES TRGQSGERSG RSGSFLYQVS THEQSESAHG RTGPSTGGRQ RSRHEQARDS
SRHSASQEGQ DTIRGHPGSS RGGRQGSHYE QSVDSSGHSG SHHSHTTSQE RSDVSRGQSG SRSVSRQTRN EKQSGDGSRH SGSRHHEASS RADSSRHSQV
GQGQSSGPRT SRNQGSSVSQ DSDSQGHSED SERWSGSASR NHLGSAWEQS RDGSRHPGSH HEDRAGHGHS ADSSRQSGTR HTESSSRGQA ASSHEQARSS
AGERHGSHHQ LQSADSSRHS GIGHGQASSA VRDSGHRGYS GSQASDSEGH SEDSDTQSVS AQGKAGPHQQ SHKESARGQS GESSGRSGSF LYQVSTHEQS
ESTHGQSAPS TGGRQGSHYD QAQDSSRHSA SQEGQDTIRG HPGPSRGGRQ GSHQEQSVDR SGHSGSHHSH TTSQGRSDAS RGQSGSRSAS RKTYDKEQSG
DGSRHSGSHH HEASSWADSS RHSLVGQGQS SGPRTSRPRG SSVSQDSDSE GHSEDSERRS GSASRNHHGS AQEQSRDGSR HPRSHHEDRA GHGHSAESSR
QSGTHHAENS SGGQAASSHE QARSSAGERH GSHHQQSADS SRHSGIGHGQ ASSAVRDSGH RGSSGSQASD SEGHSEDSDT QSVSAHGQAG PHQQSHQEST
RGRSAGRSGR SGSFLYQVST HEQSESAHGR TGTSTGGRQG SHHKQARDSS RHSTSQEGQD TIHGHPGSSS GGRQGSHYEQ LVDRSGHSGS HHSHTTSQGR
SDASHGHSGS RSASRQTRND EQSGDGSRHS GSRHHEASSR ADSSGHSQVG QGQSEGPRTS RNWGSSFSQD SDSQGHSEDS ERWSGSASRN HHGSAQEQLR
DGSRHPRSHQ EDRAGHGHSA DSSRQSGTRH TQTSSGGQAA SSHEQARSSA GERHGSHHQQ SADSSRHSGI GHGQASSAVR DSGHRGYSGS QASDNEGHSE
DSDTQSVSAH GQAGSHQQSH QESARGRSGE TSGHSGSFLY QVSTHEQSES SHGWTGPSTR GRQGSRHEQA QDSSRHSASQ DGQDTIRGHP GSSRGGRQGY
HHEHSVDSSG HSGSHHSHTT SQGRSDASRG QSGSRSASRT TRNEEQSGDG SRHSGSRHHE ASTHADISRH SQAVQGQSEG SRRSRRQGSS VSQDSDSEGH
SEDSERWSGS ASRNHHGSAQ EQLRDGSRHP RSHQEDRAGH GHSADSSRQS GTRHTQTSSG GQAASSHEQA RSSAGERHGS HHQQSADSSR HSGIGHGQAS
SAVRDSGHRG YSGSQASDNE GHSEDSDTQS VSAHGQAGSH QQSHQESARG RSGETSGHSG SFLYQVSTHE QSESSHGWTG PSTRGRQGSR HEQAQDSSRH
SASQYGQDTI RGHPGSSRGG RQGYHHEHSV DSSGHSGSHH SHTTSQGRSD ASRGQSGSRS ASRTTRNEEQ SGDSSRHSVS RHHEASTHAD ISRHSQAVQG
QSEGSRRSRR QGSSVSQDSD SEGHSEDSER WSGSASRNHR GSVQEQSRHG SRHPRSHHED RAGHGHSADR SRQSGTRHAE TSSGGQAASS HEQARSSPGE
RHGSRHQQSA DSSRHSGIPR GQASSAVRDS RHWGSSGSQA SDSEGHSEES DTQSVSGHGQ AGPHQQSHQE SARDRSGGRS GRSGSFLYQV STHEQSESAH
GRTRTSTGRR QGSHHEQARD SSRHSASQEG QDTIRGHPGS SRRGRQGSHY EQSVDRSGHS GSHHSHTTSQ GRSDASRGQS GSRSASRQTR NDEQSGDGSR
HSWSHHHEAS TQADSSRHSQ SGQGQSAGPR TSRNQGSSVS QDSDSQGHSE DSERWSGSAS RNHRGSAQEQ SRDGSRHPTS HHEDRAGHGH SAESSRQSGT
HHAENSSGGQ AASSHEQARS SAGERHGSHH QQSADSSRHS GIGHGQASSA VRDSGHRGSS GSQASDSEGH SEDSDTQSVS AHGQAGPHQQ SHQESTRGRS
AGRSGRSGSF LYQVSTHEQS ESAHGRAGPS TGGRQGSRHE QARDSSRHSA SQEGQDTIRG HPGSRRGGRQ GSYHEQSVDR SGHSGSHHSH TTSQGRSDAS
HGQSGSRSAS RETRNEEQSG DGSRHSGSRH HEASTQADSS RHSQSGQGES AGSRRSRRQG SSVSQDSDSE AYPEDSERRS ESASRNHHGS SREQSRDGSR
HPGSSHRDTA SHVQSSPVQS DSSTAKEHGH FSSLSQDSAY HSGIQSRGSP HSSSSYHYQS EGTERQKGQS GLVWRHGSYG SADYDYGESG FRHSQHGSVS
YNSNPVVFKE RSDICKASAF GKDHPRYYAT YINKDPGLCG HSSDISKQLG FSQSQRYYYY E
|
![]() FOLR1 X400 |
ビタミンB群に属する葉酸細胞の増殖に必要な生理活性をもつ。FOLR1は葉酸およびその誘導体の受容体蛋白(Gene:11q13.4)で、Folate-binding protein(FBP)とも呼ばれる。 細胞膜受容体のほか可溶性の分泌蛋白としても存在し、pHが中性下では葉酸に対して親和性を持ち、5-methyl tetrahydrofolateの細胞内への取り込みを促進するが、酸性下では葉酸に対する親和性が低下し、逆に細胞外への葉酸放出を媒介する。 卵巣癌の細胞で高発現がみられるところから、Ovarian cancer-associated antigen MOv18と呼ばれたこともある。 (リスト非掲載です) |
MAQRMTTQLL LLLVWVAVVG EAQTRIAWAR TELLNVCMNA KHHKEKPGPE DKLHEQCRPW RKNACCSTNT SQEAHKDVSY LYRFNWNHCG EMAPACKRHF
IQDTCLYECS PNLGPWIQQV DQSWRKERVL NVPLCKEDCE QWWEDCRTSY TCKSNWHKGW NWTSGFNKCA VGAACQPFHF YFPTPTVLCN EIWTHSYKVS
NYSRGSGRCI QMWFDPAQGN PNEEVARFYA AAMSGAGPWA AWPFLLSLAL MLLWLLS
|
| Follicle stimulating hormone ( FSH ) ( 別名:Follitropin ) | |
|---|---|
![]() FSH 下垂体 X400 |
下垂体の好塩基性細胞から分泌される分子量約35000の糖蛋白ホルモンで、LH、TSHと共通のαサブユニットと、特異的なβサブユニット(アミノ酸111個、Gene:11p13)からなるヘテロダイマー。糖鎖の違いによる種類がある。卵巣に対しては卵胞の発育と成熟、Estrogenの分泌を、精巣に対しては精細管の発育、精子形成を促進する。機能性下垂体腺腫などを対象としてホルマリン固定組織でも検出できる。 (左図は長期ホルマリン固定された剖検症例を用いたものであるがよく反応している。ただ周囲に抗原の流出拡散によるとみられる背景の過染が少し見られる。この点、組織への浸透固定力のより強いブアン固定などの方が優れている。) |
beta
MKTLQFFFLF CCWKAICCNS CELTNITIAI EKEECRFCIS INTTWCAGYC YTRDLVYKDP ARPKIQKTCT FKELVYETVR VPGCAHHADS LYTYPVATQC
HCGKCDSDST DCTVRGLGPS YCSFGEMKE (19-129)
|
| Forkhead box P3 ( Foxp3,FOXP3 ) ( 別名:Scurfin ) | |
|---|---|
![]() Foxp3 Rat皮膚 凍結 X400 ![]() Foxp3 Mouse 腸管 X400 ![]() Foxp3 Human LN X400 |
フォークヘッド遺伝子(Fox遺伝子)は、標的DNAに結合するfork headドメイン(中世欧州の農機具の「フォーク」に似た頭をした変異体幼虫ができたことで名付けられたショウジョウバエのfkh 遺伝子と共通した部分で、helix-turn-helixのC末端に2つのループ=ウイングを有することからwinged helixドメインとも言う)を有し、酵母から哺乳類に至る胎児期の形態や器官形成に関わる100以上に及ぶ転写制御因子の遺伝子ファミリー。 このうち、Foxp3(Xp11.23:13.8kb,12Exon,約49kDa,431aa)はCD4+CD25+ regulatory T cell(Treg:制御性T細胞あるいは抑制T細胞。末梢CD4+T細胞の約5〜10%と言われる)に発現し、自己のMHCと反応する自己反応性T細胞の活性化を抑制しており、その減少や機能低下が自己免疫疾患の発症、増悪に関与すると考えられている。自己免疫疾患モデルのscurfy mice (sf mice)の欠損遺伝子としてScurfinとも呼ばれる。(Scurf=フケ) 左図最上段は凍結切片を用いたが、中段・最下段の図のようにホルマリン固定組織のパラフィン切片でも染色可能で、核に反応する。(細胞質にも弱く反応することがある) clone:236A/E7はヒト・サルと反応し、clone:FJK16sはマウス・ラットと反応するが、clone:FJK16sの認識するエピトープ(Exon2)はヒトの場合、選択的にスプライシングを受ける部位と言われており、スプライシングを受けない変異体では反応する可能性があるとされている。 |
MPNPRPGKPS APSLALGPSP GASPSWRAAP KASDLLGARG PGGTFQGRDL RGGAHASSSS LNPMPPSQLQ LPTLPLVMVA PSGARLGPLP HLQALLQDRP
HFMHQLSTVD AHARTPVLQV HPLESPAMIS LTPPTTATGV FSLKARPGLP PGINVASLEW VSREPALLCT FPNPSAPRKD STLSAVPQSS YPLLANGVCK
WPGCEKVFEE PEDFLKHCQA DHLLDEKGRA QCLLQREMVQ SLEQQLVLEK EKLSAMQAHL AGKMALTKAS SVASSDKGSC CIVAAGSQGP VVPAWSGPRE
APDSLFAVRR HLWGSHGNST FPEFLHNMDY FKFHNMRPPF TYATLIRWAI LEAPEKQRTL NEIYHWFTRM FAFFRNHPAT WKNAIRHNLS LHKCFVRVES
EKGAVWTVDE LEFRKKRSQR PSRCSNPTPG P
|


















